تخطى الى المحتوى

الصحة

تراجع أعداد المتبرعين بالدم في الحوض الشرقي

تراجع أعداد المتبرعين بالدم في الحوض الشرقي

الأخبار(نواكشوط) أعرب  عدد من سكان مدينة النعمه بالحوض الشرقي عن قلقهم من تراجع أعداد المتبرعين بالدم في الولاية، معتبرين أن عشرات المرضى بالولاية باتوا يواجهون خطرا حقيقيا بفعل غياب بنوك للدم في الولاية وتراجع أعداد المتبرعين بالدم.   وقال السكان، إن مستشفى مدينة النعمة كان يعتمد في الأساس على تبرع


عمليات قلب مفتوح للأطفال بمستشفى الشيخ زايد

عمليات قلب مفتوح للأطفال بمستشفى الشيخ زايد

الأخبار (نواكشوط) ـ أشرف الطبيب الموريتاني المتخصص في جراحة القلب المفتوح للأطفال د.لي محمد على إجراء إحدى عشرة عملية جراحية بالمجان لصالح أحد عشر طفلا بمستشفى الشيخ زايد في العاصمة نواكشوط أمس الجمعة: 06-12-2013م.   ويساعد د.لي محمد ـ وهو طبيب موريتانيا يعمل في فرنسا ـ فريق طبي مكون


مدرسة خاصة بتكوين أعوان الصحة داخل الجيش

مدرسة خاصة بتكوين أعوان الصحة داخل الجيش

الأخبار (نواكشوط) -دعا القائد العامة لأركان الجيوش المساعد اللواء حننا ولد سيدي رؤساء المؤسسات التدريسية والهيئات الصحية الى اسداء النصح والتأطير والتفاني في العمل من أجل تخريج أعوان صحيين أكفاء قادرين على توفير اسناد صحي فعال في الزمان والمكان المحددين.   وقال حننا ولد سيدي لدي افتتاحه مدرسة عسكرية خاصة بتكوين


فوز مشروع "توكه" في مسابقة مائة ابتكار

فوز مشروع "توكه" في مسابقة مائة ابتكار

الأخبار (نواكشوط) ـ أعلنت لجنة التحكيم لـ "منتدى إفريقيا 2013م، مائة ابتكار من أجل تنمية مستدامة"، والتي تتبع لوزارة التنمية الفرنسية عن فوز مشروع "توكه" من بين مائة أفضل ابتكار أفريقي مسجل في العام الجاري.   ويتولى الإشراف على مشروع "توكه" مجموعة باحثين موريتانيين في


أزمة بقطاع الصحة تثير غضب السكان

أزمة بقطاع الصحة تثير غضب السكان

انتقد عدد من مراجعي  المستشفيات الموريتانية انشغال العاملين في قطاع الصحة بادارة حملة بالحملات الدعائية في وقت يشهد فيه قطاع الصحة أسوء أزمة منذ تولي الوزير الحالي أحمد ولد جلفون مقاليد الوزارة قبل أشهر.   وانتظر العشرات من رواد مركز الشيخ زايد ومستشفي الصداقة وجود حل لأزمة الأطباء المضربين دون جدوي


ارتفاع نسبة الإصابة بالسكري في موريتانيا

ارتفاع نسبة الإصابة بالسكري في موريتانيا

الأخبار(نواكشوط) أعلنت وزارة الصحة الموريتانية أن نسبة الإصابة بمرض السكري بالبلاد ترتفع بشكل مطرد مما يمثل خطر الإصابة بالعديد من أمراض القلب والشرايين والجلطة الدماغية وقصور القلب والكلى.   وقالت الوزارة، إن نتائج المسح المنظم شهر يونيو 2008 أظهر أن نسبة الإصابة به وصلت إلى أزيد من 6% وأنها مرشحة


حملة لإدراج لقاح مضاد للالتهاب الرئوي

حملة لإدراج لقاح مضاد للالتهاب الرئوي

انطلقت الثلاثاء بساحة التنوع الثقافي في نواكشوط الفعاليات الخاصة بإطلاق حملة إدراج لقاح جديد مضاد لالتهاب الرئوي تحت شعار "معا من أجل حماية الأطفال من الالتهاب الرئوي". وقالت عيش فال بنت فرجيس وزيرة الشؤون الاجتماعية والطفولة والأسرة وزيرة الصحة وكالة في كلمة لها بالمناسبة إن الحكومة عملت على


هيئة طبية تتعهد بتقديم دعم للشعب الموريتاني

هيئة طبية تتعهد بتقديم دعم للشعب الموريتاني

الأخبار(نواكشوط) تعهد رئيس  سلك الخدمات الاستشفائية الفرنسية في مالطا" تييري دو بومون بيناك" بتقديم دعم  لصالح الشعب الموريتاني في الأشهر والسنوات القادمة.   وأدلي المسؤول الدولي بهذا التصريح بعيد لقاء جمعه في نواكشوط بالرئيس الموريتاني محمد ولد عبد العزيز.   وقال رئيس  سلك الخدمات الاستشفائية الفرنسية في مالطا، إن


وزارة الصحة تؤكد جاهزية النظام الصحي بموريتانيا

وزارة الصحة تؤكد جاهزية النظام الصحي بموريتانيا

الأخبار (نواكشوط) ـ قال المستشار الفني لوزير الصحة د.الهادي ولد إجيجبي إن المسح الذي انطلق أوائل 2013م، وشمل جميع الوحدات الصحية على امتداد التراب الوطني قدم "معلومات نوعية عن مدى جاهزية نظامنا الصحي لتقديم الخدمات الصحية الأساسية للمواطنين".    وأضاف ولد إجيجبي في كلمته الخميس: 07-11-2013م بفندق آتلانتيك


أطباء يطالبون بتنفيذ تعهد الرئيس باكتتابهم

أطباء يطالبون بتنفيذ تعهد الرئيس باكتتابهم

الأخبار (نواكشوط) ـ قالت مجموعة الأطباء المتخرجين حديثا، إن الرئيس الموريتاني تعهد لهم شخصيا في شهر يوليو الماضي باكتتاب جميع الأطباء الوطنيين خلال زيارته للمستشفى الوطني، مؤكدين أن المجموعة المحرومة من الاكتتاب تشكل 90% من مجموع الطواقم العاملة في مختلف مستشفيات البلاد.   وأضافت المجموعة في بيان وزعته على هامش وقفة


إدخال لقاح جديد في البرنامج الروتيني للتلقيح

الأخبار (نواكشوط) ـ تتواصل لليوم الثاني على التوالي فعاليات ملتقى تحسيسي حول إدخال لقاح جديد ضد أمراض التنفس، وذلك ضمن البرنامج الروتيني للتلقيح، بإشراف البرنامج الوطني للتلقيح التابع لوزارة الصحة بالتعاون مع هيئة بيل كيت.   ويشارك في الملتقى الذي يستمر لفترة يومين (الثلاثاء والأربعاء) المديرون الجهويون للصحة، ويشهد عروضًا


أسبوع تحسيسي للنظافة بنواذيبو

أسبوع تحسيسي للنظافة بنواذيبو

الأخبار(نواذيبو) – أطلقت الإدارة الجهوية للتعليم والتكوين الفني زوال اليوم الأربعاء 30 أكتوبر 2013أسبوعا تحسيسيا لنشر الوعي الصحي والمدني فى مدارس الولاية تخليدا لليوم العالمي للنظافة.   وقالت مديرة التعليم صفية بنت بمب إن النظافة تشكل قيمة مدنية وحضارية علاوة على كونها سلوكا دينيا حث عليه الشرع الحنيف فى مختلف مناحي


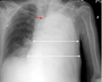
انطلاق رابع مؤتمر لهيئة أمراض القلب

الأخبار (نواكشوط) انطلقت أمس السبت 26/10/2013   بانواكشوط أعمال المؤتمر الوطني الرابع للهيئة الموريتانية لأمراض القلب، المنظم تحت شعار أمراض نقص تروية شرايين القلب . ويهدف المؤتمر الذي يشارك فيه أخصائيون من تونس والسنغال والمغرب والسودان وايطاليا والذي يتواصل لمدة يومين إلى تبادل الأفكار والتجارب والمستجدات العلمية حول أمراض القلب


حملة للتلقيح ضد شلل الأطفال في آدرار

الأخبار(نواكشوط) انطلقت السبت بولاية آدرار حملة التلقيح ضد شلل الأطفال وتوزيع أقراص فيتامبن أ ومضادات الديدان المعوية، تحت شراف والي آدرار السيد جيالو عمر آمادو بحضور حاكم مقاطعة اطار وعمدة البلدية والسلطات الصحية والامنية.  وأوضح الدكتور اعلي ولد اميدة المدير الجهوي للعمل الصحي بالولاية في تصريح للوكالة الموريتانية للأنباء